Neonics dispute, Hygenic bees, Hip-hop MRI
There is disagreement over the findings of the first large-scale field study into neonicotinoids, and what happens when you put a rapper and an opera singer into MRI scanners?
The results of the first large-scale field study looking at neonicotinoid pesticides and their impact on bees has caused controversy. It was carried out by the Centre for Ecology and Hydrology (CEH) and commissioned and funded by the agricultural chemical companies Syngenta and Bayer. However, both companies have expressed dissatisfaction with the paper. Adam Rutherford talks to Dr Peter Campbell from Syngenta and Dr Ben Woodcock from CEH about the results.
In a separate project, beekeepers have been trying to improve hive health by breeding 'hygienic bees'. These nifty insects love to keep their homes clean and free from disease, improving colony numbers and reducing the need to use antibiotics. Reporter Rory Galloway embarks on some fieldwork at the University of Sussex, with Luciano Scandin, Honeybee Research Facility Manager and Francis Ratnieks, Professor of Apiculture.
What happens when you rap inside an MRI scanner? Neuroscientist Sophie Scott wanted to find out. She's been making movies of the internal workings of some extraordinary voice boxes, owned by beatboxers, opera singers and rappers, like biochemist Alex Lathbridge aka Thermoflynamics.
Presenter: Adam Rutherford
Researcher: Caroline Steel
Producer: Michelle Martin.
Last on
![]()
Thermoflynamics, the rapping scientist
Alex Lathbridge is a biochemist and rapper known as Thermoflynamics.
![]()
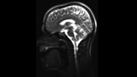
Rapping in an MRI scanner
Take a look inside Alex Lathbridge’s vocal cords a rap performance.
Broadcasts
- Thu 6 Jul 2017 16:30ÃÛÑ¿´«Ã½ Radio 4 FM
- Thu 6 Jul 2017 21:00ÃÛÑ¿´«Ã½ Radio 4
Explore further with The Open University
Discover more fascinating science content with The Open University
Podcast
-
ÃÛÑ¿´«Ã½ Inside Science
A weekly programme looking at the science that's changing our world.

