Episode details

Available for over a year
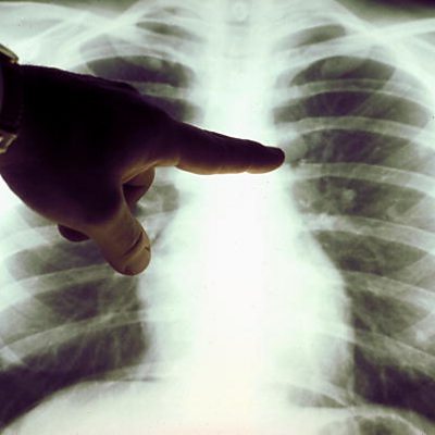
Removing the word "cancer" when diagnosing slow-growing lesions in various parts of the body would worry patients less and might even influence the way doctors chose to treat the disease, a panel of medical experts argue. Dr Laura Esserman is the report’s lead author. (Photo: A view of a close up of a lung x-ray of a cigarette smoker in an undated photo. Credit: The American Cancer Society via Getty Images)
Programme Website