The Wonderful World of Blood - with Michael Mosley
Michael Mosley takes an in-depth look at blood. He carries out six experiments on his own blood, from starving it of oxygen to injecting it with snake venom and even eating it.
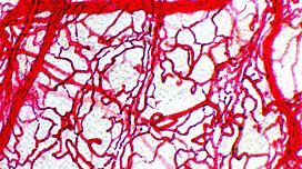
Of all the wonders of the human body, there's one more mysterious than any other. Blood: five precious litres that keep us alive. Yet how much do we really know about this sticky red substance and its mysterious, life-giving force?
Michael Mosley gives up a fifth of his own blood to perform six bold experiments. From starving it of oxygen to injecting it with snake venom, Michael reveals the extraordinary abilities of blood to adapt and keep us alive. Using specialist photography, the programme reveals the beauty in a single drop. Michael even discovers how it tastes when, in a television first, he prepares a black pudding with his own blood.
Down the ages, our understanding of blood has been as much myth as science, but Michael reveals there might be truth in the old vampire legends, as he meets one of the scientists behind the latest research that shows young blood might be able to reverse the ageing process - the holy grail of modern medicine.
Last on
![]()
You didn’t realise this was a cookery show, did you?
![]()
An interactive guide to blood
Clips
-
Would you eat a black pudding made with your own blood?
Duration: 01:26
Music Played
-
FC Kahuna
Hayling
-
Mylo vs Miami Sound Machine
Doctor Pressure
-
Four Tet
Circling
-
East India Youth
Glitter Recession
-
Nils Frahm
For (Luke Abbott Rework)
Remix Artist: Luke Abbott. -
Colleen
Babies
Credits
| Role | Contributor |
|---|---|
| Presenter | Michael Mosley |
| Executive Producer | Jacqueline Smith |
| Director | Nathan Budd |
Broadcasts
- Wed 25 Mar 2015 21:00
- Thu 26 Mar 2015 02:30
- Mon 30 Mar 2015 23:15
- Sat 23 May 2015 20:00
- Wed 27 May 2015 01:45
- Thu 18 Feb 2016 21:00
- Thu 8 Sep 2016 23:00
- Fri 9 Sep 2016 02:35
- Thu 8 Jun 2017 20:00
- Wed 10 Jan 2018 23:00
- Thu 22 Nov 2018 22:30
- Wed 4 Sep 2019 23:00


